Обучение
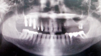
Клинический случай 1. Имплантация методом немедленной нагрузки с установкой протеза
Доктор Юсупов Аркадий
1) Панорамная рентгенограмма больной 57 лет, по показаниям удаление зубов нижней челюсти.
2) Удаление зубов нижней челюсти.
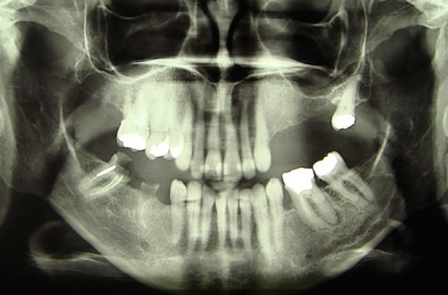
Клинический случай 2. Синус-лифтинг с имплантацией (имплантаты «Юник» и «Перфект»)
Доктор Кандино Даниэль
1) Панорамная рентгенограмма больной с частичной адентией на верхней челюсти слева. Планируется удаление корней 23 и 27 зубов и установка 5 имплантатов в области зубов с 23 по 27. В области зубов 25, 26 и 27 будет проведена направленная регенерация костной ткани «синус лифтинг» с одномоментной установкой имплантатов.
Клинический случай 3. Иммедиат имплантация с одномоментной нагрузкой первого премоляра верхней челюсти справа
Д.м.н., профессор Мушеев И.У.
Согласно показаниям, у пациентки удаляется первый премоляр на верхней челюсти справа.
Атравматичное удаление зуба, тщательный кюретаж лунки удаленного зуба.
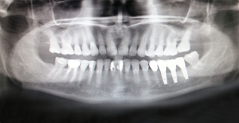
Клинический случай 4. Использование направляющего параллельности сверления
Д.м.н., проф. Мушеев И.У.Д.м.н., проф. Мушеев И.У.
1) Панорамный снимок, пациентка 62 года, отсутствуют 36 и 37 зубы, планируется имплантация 3-х имплантатов в области отсутствующих зубов.
2) Состояние перед имплантацией.
Клинический случай 5
1) панорамные рентген пациента до лечения
2) интраоральной вид расширенного адентией пространства





